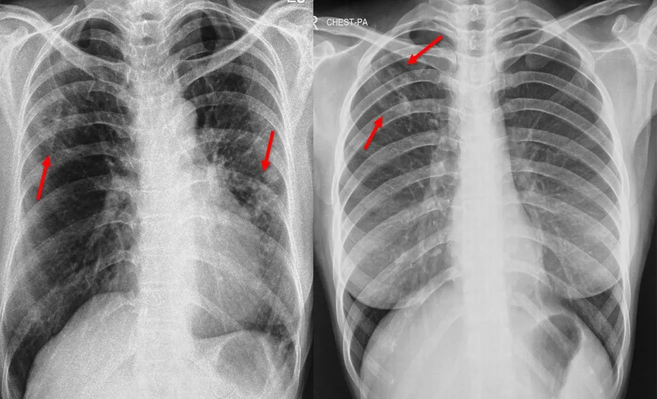
एक्स-रे में दिखने वाला हर धब्बा टीबी नहीं होता, बारीकियों को समझें मेडिकल छात्र: डॉ. सूर्यकांत
लखनऊ, अमृत विचार। हर चमकती चीज जैसे सोना नहीं होती, उसी तरह से फेफड़ों के एक्स-रे में दिखने वाला हर धब्बा टीबी नहीं होता। टीबी की सटीक पहचान के लिए एक्स-रे की बारीकियों की जानकारी होना जरूरी है।
यह कहना है नार्थ जोन टीबी टास्क फोर्स के चेयरमैन, व केजीएमयू के रेस्परेटरी मेडिसिन विभाग के अध्यक्ष डॉ. सूर्यकांत का। वह किंग जार्ज चिकित्सा विश्वविद्यालय (केजीएमयू) के रेस्परेटरी मेडिसिन विभाग के तत्वावधान में आयोजित हुई दो दिवसीय कार्यशाला के आखिरी दिन रविवार को पीजी छात्रों को सम्बोधित कर रहे थे।
कार्यशाला में नौ राज्यों के करीब 250 पीजी छात्र शामिल हुए। डॉ. सूर्यकांत ने बताया फेफड़ों के एक्स-रे से केवल टीबी ही नहीं बल्कि कई अन्य बीमारियों के बारे में भी सावधानीपूर्वक पता लगाया जा सकता है। इनमें तो कई ऐसी बीमारियां भी होती हैं जो एक्स-रे में टीबी जैसी ही लगती हैं।
उन्होंने बताया कि इन बीमारियों में प्रमुख रूप से लंग कैंसर, इंटरशियल लंग डिजीज (आईएलडी), सीओपीडी, एक्यूट रेस्परेटरी डिस्ट्रेस सिंड्रोम (एआरडीएस), निमोनिया, ट्रोपिकल पल्मोनरी ईओसिनोफीलिया (टीपीई), लंग फाइब्रोसिस, ब्रान्काइटिस शामिल हैं।
कार्यशाला में पीजीआई चंडीगढ़ के डॉ. दिगंबर बेहरा ने लंग कैंसर से जुड़ी महत्वपूर्ण जानकारियों को साझा किया। एम्स दिल्ली के डॉ. अनंत मोहन ने निमोनिया के इलाज की बारीकियां बताई तो म्स ऋषिकेश के डॉ. मयंक मिश्रा ने लंग ट्यूमर के उपचार में क्रायोथेरेपी की भूमिका पर प्रकाश डाला ।
एम्स जोधपुर के डॉ. नवीन दत्त ने इंटरशियल लंग डिजीज से जुड़ी बारीकियों के बारे में बताया। पीजीआई रोहतक के डॉ. पवन कुमार सिंह ने एक्यूट रेस्परेटरी डिस्ट्रेस सिंड्रोम (एआरडीएस) के बारे में बताया।

